비활동성 폐결핵이란 무엇일까요?
비활동성 폐결핵은 과거에 결핵균이 폐에 감염되어 병변을 만들었지만, 현재는 결핵균이 활동하지 않고 잠복되어 있는 상태를 말합니다. 이는 마치 흉터와 같은 흔적이라고 생각하면 됩니다.
목차
비활동성 폐결핵의 특징
비활동성 폐결핵의 진단
비활동성 폐결핵의 관리
비활동성 폐결핵에 대한 궁금증
생활 속에서 실천하는 결핵예방수칙은?

비활동성 폐결핵의 특징:
- 전염성이 없습니다: 비활동성 폐결핵 환자는 객담 검사에서 결핵균이 발견되지 않아 다른 사람에게 전염되지 않습니다.
- 증상이 없습니다: 대부분의 경우 특별한 증상이 나타나지 않습니다.
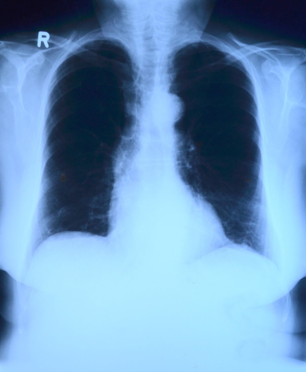
- 흉부 X-ray에서 확인 가능: 흉부 X-ray 사진에서 과거 결핵 병변의 흔적을 확인할 수 있습니다.
- 치료가 필요하지 않습니다: 일반적으로 치료가 필요하지 않지만, 면역력이 약해지는 경우 활동성 폐결핵으로 진행될 가능성이 있으므로 정기적인 추적 관찰이 필요합니다.
비활동성 폐결핵의 진단:
- 결핵 피부 반응 검사: 과거에 결핵균에 감염되었는지 확인하는 검사입니다.
- 흉부 X-ray: 폐에 결핵 병변의 흔적이 있는지 확인합니다.
- 객담 검사: 객담에서 결핵균이 있는지 확인합니다. (비활동성 폐결핵 환자는 일반적으로 객담 검사에서 음성입니다.)
- 혈액 검사: 면역력 상태를 확인합니다.
결핵 증상 검사방법,초기증상 알아보기
[목차] 결핵이란? 결핵의 증상(초기증상, 진행된 증상) 결핵 검사방법 결핵 예방 방법 결핵은 결핵균에 감염되어 발생하는 전염병입니다. 결핵은 조기에 진단하고 치료하면 완치가 가능한 질환
111.kessw123.com
비활동성 폐결핵의 관리:
정기적인 추적 관찰: 흉부 X-ray 검사 및 혈액 검사를 통해 면역력 상태와 병변의 변화를 확인합니다.
면역력 강화: 균형 잡힌 식단, 규칙적인 운동, 충분한 수면 등을 통해 면역력을 강화하는 것이 중요합니다.
금연: 흡연은 폐 건강을 악화시키고 활동성 폐결핵으로 진행될 위험을 높입니다.
주의 사항: 면역억제제를 복용하는 경우, 당뇨병이나 HIV 감염과 같은 면역력이 약한 질환을 가지고 있는 경우 특히 주의가 필요합니다.
비활동성 폐결핵과 활동성 폐결핵의 차이점
| 특징 | 비활동성 폐결핵 | 활동성 폐결핵 |
| 전염성 | 없음 | 있음 |
| 증상 | 없음 |
기침, 객담, 발열, 체중 감소, 피로 등
|
| 흉부 X-ray | 과거 결핵 병변의 흔적 | 활동적인 병변 |
| 치료 | 필요 없음 |
항결핵 약물 치료 필요
|
비활동성 폐결핵에 대한 궁금증:
비활동성 폐결핵이 활동성 폐결핵으로 진행될 가능성이 얼마나 높습니까?
- 정확한 확률은 면역력 상태, 나이, 기저 질환 등 여러 요인에 따라 다릅니다. 일반적으로 5% 미만으로 알려져 있지만, 면역력이 약한 경우 위험이 높아집니다.
비활동성 폐결핵 환자가 다른 사람에게 결핵을 전염시킬 수 있습니까?
- 일반적으로 전염되지 않습니다. 하지만, 면역력이 매우 약한 경우 드물게 전염될 가능성이 있습니다.
비활동성 폐결핵은 완치가 가능합니까?
- 완치가 어렵지만, 면역력을 유지하고 정기적인 추적 관찰을 통해 활동성 폐결핵으로 진행되는 것을 예방할 수 있습니다.
생활 속에서 실천하는 결핵예방 수칙은?
○ 기침을 할 때는 반드시 휴지나 손수건으로 입을 가리고 해야 합니다.
○ 결핵환자의 경우 내 가족과 친구를 위해 반드시 마스크 착용을 해야 합니다.
○ 2~3주 이상의 기침, 발열, 체중감소, 수면 중 식은땀 등의 증상이 나타날 경우 가까운 의료기관에서 반드시 결핵검사를 받으시길 바랍니다.



맺음말
비활동성 폐결핵은 폐에 잠복되어 있는 결핵균이 활동하지 않는 상태입니다. 전염성이 없지만, 정기적인 추적 관찰을 통해 관리해야 합니다. 면역력을 강화하고 건강한 생활습관을 유지하는 것이 중요합니다.