목차
1. 폐기흉이란?
폐기흉(공기가슴증)은 폐의 표면에 구멍이 생겨 늑막강(가슴막 사이의 공간)에 공기가 들어가면서 폐가 쭈그러드는 질환입니다. 특히 키가 크고 마른 젊은 남성에게 자주 발생하며, 적절한 치료를 받지 않으면 생명에 위험할 수 있습니다.
건강한 사람의 늑막강은 음압을 유지하여 폐가 팽창된 상태를 유지하는데, 기흉이 발생하면 이 균형이 깨져 폐가 수축하게 됩니다.
📖 관련 읽기: 폐 건강을 위한 생활 습관 7가지

2. 주요 증상
초기 증상
- 가슴 통증: 갑작스럽고 날카로운 통증이 발생
- 호흡곤란: 숨이 차고 가슴이 답답한 느낌
- 가슴 허함: 제자리에서 뛸 때 특징적인 감각
심각한 증상 (응급상황)
- 심한 호흡곤란
- 빠른 맥박
- 청색증 (입술이나 피부가 파랗게 변함)
- 실신이나 의식 잃음
⚠️ 응급상황 대처법: 위 증상이 나타나면 즉시 119에 신고하고 가까운 응급실로 이송해야 합니다.


3. 발생 원인
자발성 기흉 (원발성)
- 주요 대상: 키 크고 마른 10-30대 남성
- 원인: 폐 표면의 작은 공기주머니(기포) 파열
- 특징: 특별한 원인 없이 갑자기 발생
속발성 기흉
- 만성 폐쇄성 폐질환 (COPD)
- 천식
- 폐결핵
- 폐렴
- 폐암
외상성 기흉
- 교통사고나 낙상
- 가슴 부위 타박상
- 의료 시술 중 합병증
💡 위험요인 확인하기: 폐질환 자가진단 체크리스트
4. 진단 방법


기본 검사
- 문진 및 신체검사
- 증상 확인 및 청진
- 호흡음 변화 확인
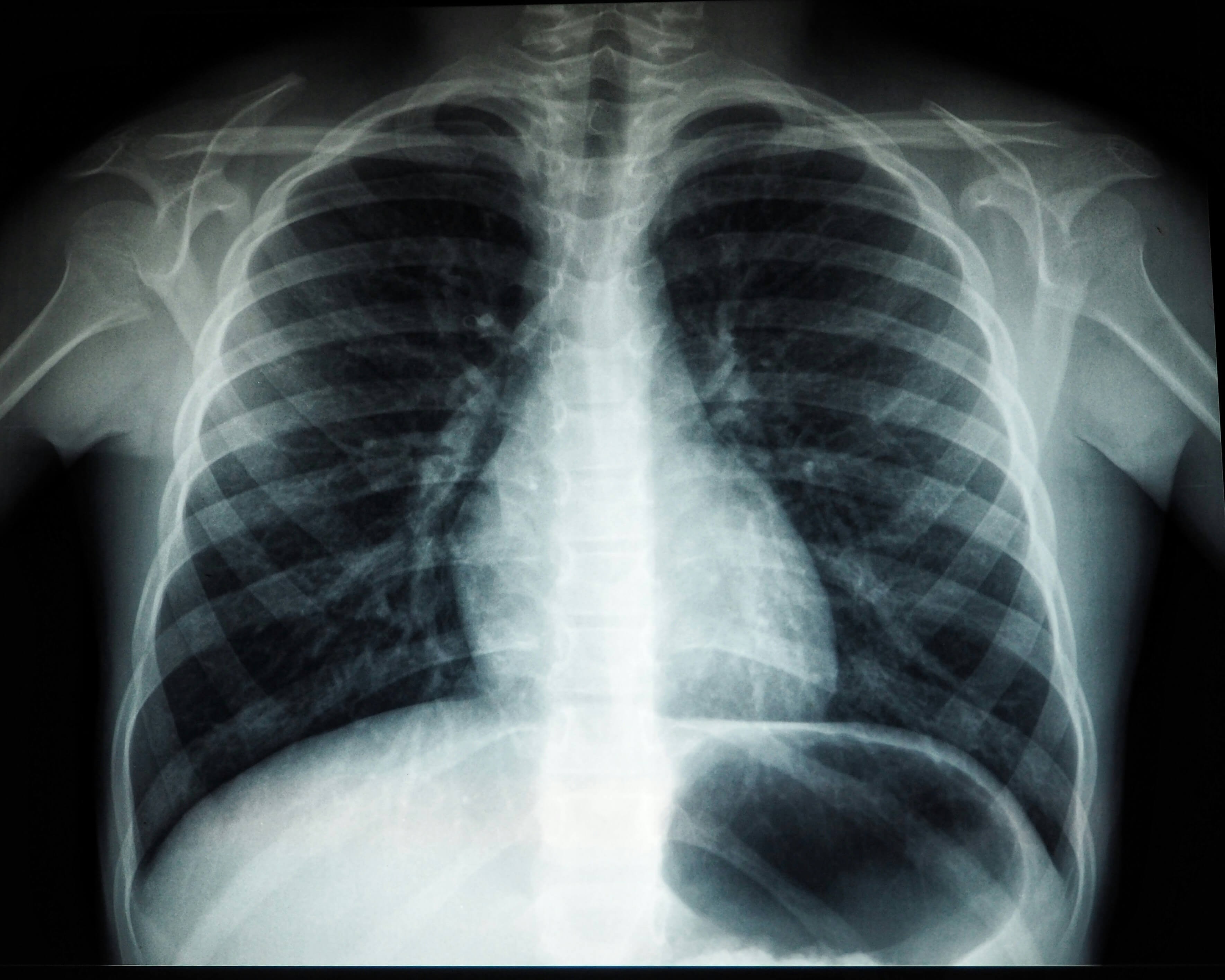
- 가슴 X선 촬영
- 가장 기본적인 진단 방법
- 폐 허탈 정도 확인
정밀 검사
- 흉부 CT 촬영
- 수술 필요성 판단
- 기낭의 정확한 위치와 범위 파악
- 재발 위험도 평가
- 동맥혈 가스 분석
- 호흡 기능 평가
- 산소포화도 측정
5. 치료법
보존적 치료 (경증)
대상: 소량의 기흉, 증상이 경미한 경우
- 안정 및 경과 관찰
- 산소 투여
- 자연 흡수 대기 (2-4주)
흉관 삽입술 (중등도-중증)
대상: 기흉량이 많거나 증상이 심한 경우
- 국소마취 후 가슴에 튜브 삽입
- 늑막강의 공기 제거
- 입원 치료 필요 (3-7일)


수술적 치료
대상: 재발성 기흉, 양측성 기흉
- 흉강경 수술
- 최소 침습 수술
- 기포 제거 및 유착술
- 재발률 5% 이하
- 개흉술
- 복잡한 경우에 시행
- 완전한 치료 가능
🏥 치료 후 관리: 수술 후 회복을 위한 호흡운동법
6. 예방법
생활습관 개선
- 금연: 재발 위험을 현저히 감소
- 규칙적인 운동: 폐 기능 강화
- 체중 관리: 적정 체중 유지
위험 상황 피하기
- 고압 활동 제한: 스쿠버다이빙, 고공 비행
- 과격한 운동 주의: 역도, 격렬한 스포츠
- 기침 조절: 심한 기침 시 주의
7. 생활 주의사항


일상생활 관리
- 정기 검진: 6개월-1년마다 흉부 X선 촬영
- 증상 관찰: 재발 징후 주의 깊게 관찰
- 응급상황 대비: 병원 연락처 미리 준비
운동 및 활동
- 점진적 운동: 치료 후 서서히 활동량 증가
- 호흡법 연습: 복식호흡으로 폐 기능 개선
- 스트레스 관리: 과도한 스트레스 피하기
재발 방지
재발률은 치료 방법에 따라 다릅니다:
- 보존적 치료 후: 약 30-50%
- 흉관 삽입 후: 약 15-20%
- 수술 치료 후: 약 5% 미만
📞 응급상황 대응: 가슴 통증과 호흡곤란이 재발하면 즉시 응급실 방문이 필요합니다.
마무리
폐기흉은 조기 발견과 적절한 치료로 완치가 가능한 질환입니다. 특히 젊은 남성의 경우 재발 가능성을 고려하여 지속적인 관리가 중요하며, 금연과 정기 검진을 통해 예방할 수 있습니다.
증상이 의심되면 즉시 의료진과 상담하고, 치료 후에도 생활 수칙을 준수하여 건강한 폐 기능을 유지하시기 바랍니다.
💊 추가 정보: 폐질환 관리를 위한 생활가이드
본 정보는 의학적 조언을 대체할 수 없으며, 증상이 있을 시 반드시 의료진과 상담하시기 바랍니다.